
Procedimentos cirúrgicos seguros com foco no seu conforto e recuperação.
Dentista
Especializada
20+
Anos de experiência
Procedimentos realizados com precisão, segurança e cuidado em cada etapa.
A cirurgia oral abrange diversos procedimentos realizados na cavidade bucal, desde extrações simples e de sisos até cirurgias pré-protéticas e biópsias.
A Dra. Carolina Benato Costa é cirurgiã-dentista formada desde 2003, com foco absoluto em Reabilitação Oral, Implantes e Próteses Dentárias — as principais especialidades da clínica.
Seu trabalho é dedicado a devolver a função mastigatória e a estética do sorriso com segurança e precisão, utilizando as técnicas mais avançadas para resultados duradouros.
Aliamos experiência clínica ao planejamento personalizado para oferecer soluções definitivas, garantindo que cada paciente recupere não apenas o sorriso, mas sua qualidade de vida e confiança.
Além de sua atuação clínica, a Dra. Carolina também possui experiência na área de prótese, o que amplia sua visão sobre os tratamentos de reabilitação oral.
Além da atuação clínica, a Dra. Carolina é especialista em Perícia Odontológica, área que envolve a realização de análises técnicas, avaliações odontológicas especializadas e a emissão de pareceres profissionais fundamentados.
.jpg&w=3840&q=75)
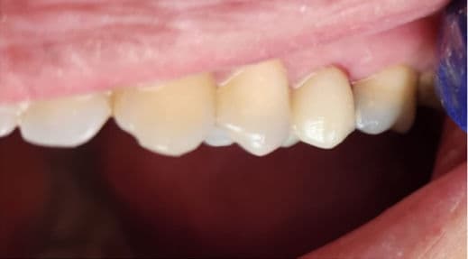
Transformações que devolvem a função e a autoestima.


Arraste para comparar




Um processo simples e transparente para você cuidar do seu sorriso.
Inicie uma conversa para tirar dúvidas ou agendar.
Escolha o melhor horário para sua avaliação.
Análise detalhada da sua saúde bucal e necessidades.
Definição do melhor caminho para o seu sorriso.
Esclareça os principais pontos sobre este tratamento.
Explore nossas especialidades e encontre o cuidado ideal para você.
Especialidade principal focada em tratamentos completos para recuperar função, estética e qualidade de vida.
Especialidade principal para reposição segura e duradoura de dentes perdidos, com planejamento clínico de excelência.
Especialidade principal em reabilitação funcional e estética para devolver conforto, mastigação e segurança.
Tratamentos personalizados para harmonizar o sorriso com naturalidade e equilíbrio.
Acompanhamento contínuo para manter a saúde bucal e prevenir problemas futuros.
Avaliações técnicas e análises odontológicas especializadas realizadas com rigor profissional.